HARUEIMPLANT DENTAL CLINIC
고난이도 임플란트,
믿을 수 있는 전문의에게!
-
다수의
임플란트
식립건수 -
다년간의
치과의사
경력 -
통합치의학
전문의
자격취득 -
디지털
임플란트
시스템
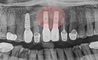
full size CBCT, 구강스캐너, 컴퓨터모의시술 등
최고 수준의 장비를 구비하여
더 정확한 치료 예측 및
치료 계획 수립이 가능합니다
대표원장이 책임진료하는 하루임플치과는
치료 도중 주치의가 바뀌지 않아
환자 분의 전체적인 구강건강을
전문적으로 진료해드립니다.
임플란트를 하고 나서 양치만 끝나면 음식물이 금세 끼고, 깨끗이 닦았는데도 잇몸이 시큰거린다고 호소하는 분들이 적지 않습니다. 많은 분들이 임플란트가 문제인가? 하고 생각하시지만 사실 원인은 본체가...
안녕하세요. 하루임플입니다. “이를 빼야 한다”는 이야기를 들었을 때 대부분의 환자분들은 크게 놀라십니다. 특히 이가 아직 흔들리지 않고 씹는 데 불편이 없을 경우에는 ...
임플란트는 보통 10년 이상 안정적으로 사용할 수 있지만, 주변 뼈 흡수나 파절 보철물 파손으로 인해 재치료가 필요한 경우도 있습니다. 특히 오랜 기간 사용된 임플란트를 제거한 뒤에...
오늘 소개해드릴 사례는 발치는 다른 치과에서 하셨지만, 임플란트는 저희 병원을 찾아주신 환자분 이야기입니다. 다른 치과에서 발치를 먼저 하셨는데 임플란트는 6개월 뒤에나 심을 수 있다고 안내를 받으셨다고 해요. &...
임플란트는 잘만 자리 잡으면 10년 이상 사용할 수 있지만, 골 손실이나 치주염으로 실패하는 경우도 있습니다. 특히 어금니 부위는 저작력이 강하게 작용하기 때문에 뼈가 약하거나 관리가 부족하면 문제를 일으키기 쉽습니다.  ...
안녕하세요. 하루임플치과입니다. 얼마 전 한 아버님이 내원하셨습니다. 그분은 이미 여러 차례 임플란트 경험이 있으셨고, 이번에는 아드님이 직접 상담을 권유해주셨다며 오셨습니다. 아드님이 이렇게 말...
궁금하신 사항을 아래 문의 내용에 입력해주시면
보다 빠르게 전화로 상담을 도와드립니다