HARUEIMPLANT DENTAL CLINIC
고난이도 임플란트,
믿을 수 있는 전문의에게!
-
다수의
임플란트
식립건수 -
다년간의
치과의사
경력 -
통합치의학
전문의
자격취득 -
디지털
임플란트
시스템
full size CBCT, 구강스캐너, 컴퓨터모의시술 등
최고 수준의 장비를 구비하여
더 정확한 치료 예측 및
치료 계획 수립이 가능합니다
대표원장이 책임진료하는 하루임플치과는
치료 도중 주치의가 바뀌지 않아
환자 분의 전체적인 구강건강을
전문적으로 진료해드립니다.
이 글의 핵심 요약 대상: 눈에 잘 띄는 앞니 상실로 인해 외관상 자연스러움과 기능을 동시에 회복하고 싶은 분 핵심: 1mm 미만의 얇은 **순측 골벽(입술 쪽 뼈)**을 보존하며 정밀하게 식립하는 고난도 기술 강점: 0...
[원장 칼럼] 울산 턱보톡스, 미용 목적보다 ‘이갈이·턱관절 보호’가 우선되어야 합니다 이 글의 핵심 요약 대상: 아침마다 턱이 뻐근하거나, 수면 중 이갈이·이악물기 습관으로 치아...
[원장 칼럼] "또 흔들리고 빠지는 임플란트.." 실패 원인 분석과 울산 재수술 성공 전략 이 글의 핵심 요약 대상: 타 치과에서 심은 임플란트가 탈락했거나, 만성 염증으로 고통받...
[원장 칼럼] 울산 잇몸뼈 부족·치주염 환자도 임플란트가 가능한 이유 (GBR 뼈이식의 핵심) 이 글의 핵심 요약 대상: 잇몸뼈가 얇거나 낮아서 타 치과에서 "수술 불가" 판정을 받은 울산 환자 ...
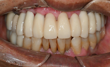
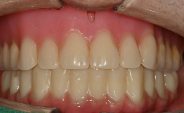
[원장 칼럼] 울산 전체 임플란트 비용이 고민된다면? ‘상악 틀니 + 하악 올온식스’가 답이 될 수 있습니다 이 글의 핵심 요약 대상: 울산에서 부모님 전체 임플란트 비용 부담으로 고민 ...
안녕하세요. 하루임플치과입니다. 임플란트를 고민하시는 분들을 만나보면 치료 자체보다 더 크게 느끼는 부분이 있습니다. ...
반갑습니다, 하루임플치과입니다. “앞니가 다 썩었어요.” “이가 빠진 지 오래됐고, 남아 있는 앞니도 흔들려요.” 이렇게 말씀하시며 내원하시는 분들이 종종 계십니다. ...
안녕하세요. 하루임플치과입니다. 부분틀니나 전체틀니를 오래 사용하시다 보면 “끼우면 아프고, 빼면 못 씹고…” 이런 양쪽 불편함 사이에서 &nbs...
치과에 오시는 많은 분들이 “이 치아는 빼야 하나요?” “임플란트를 해야 한다고 하던데 맞나요?” 라는 고민을 가지고 계십니다. 특히 앞니처럼 심미성·...
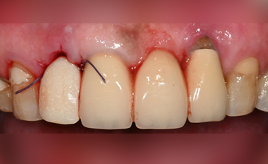
안녕하세요. 진료실에서 가장 안타까운 순간 중 하나가, 앞니 임플란트를 이미 한 번 했는데 재수술을 해야 한다는 이야기를 듣고 오시는 경우입니다. “임플란트는 한 번 하면 평생 쓸 줄 알았는데, 왜 또 해...
궁금하신 사항을 아래 문의 내용에 입력해주시면
보다 빠르게 전화로 상담을 도와드립니다