HARUEIMPLANT DENTAL CLINIC

하루임플 칼럼

하루임플치과는 약속합니다
더 정직하게, 더 바르게, 더 편안하게 진료하겠습니다
앞니는 아리임플란트로 해야되는 이유

작성일 | 2025.11.20 작성자 | 관리자

 

 

오늘은 앞니 임플란트에는

왜 일반 임플란트가 아닌

아리임플란트(Ari Implant)가 적합한지

 

그 이유를

실제 사례를 통해 설명드리려 합니다.

 

전치부는

치아가 작고 얇고 둘러싼 잇몸뼈 또한

매우 얇습니다.

그래서 풍치나 염증으로

이를 빼게 되면

얇은 뼈는 눈 녹듯 빠르게 사라지죠.

 

즉, 어금니처럼

“그냥 심으면 되는” 부위가 아닙니다.

구조적으로 까다롭기 때문에,

픽스쳐 선택이 결과를 좌우합니다.

 

 

 

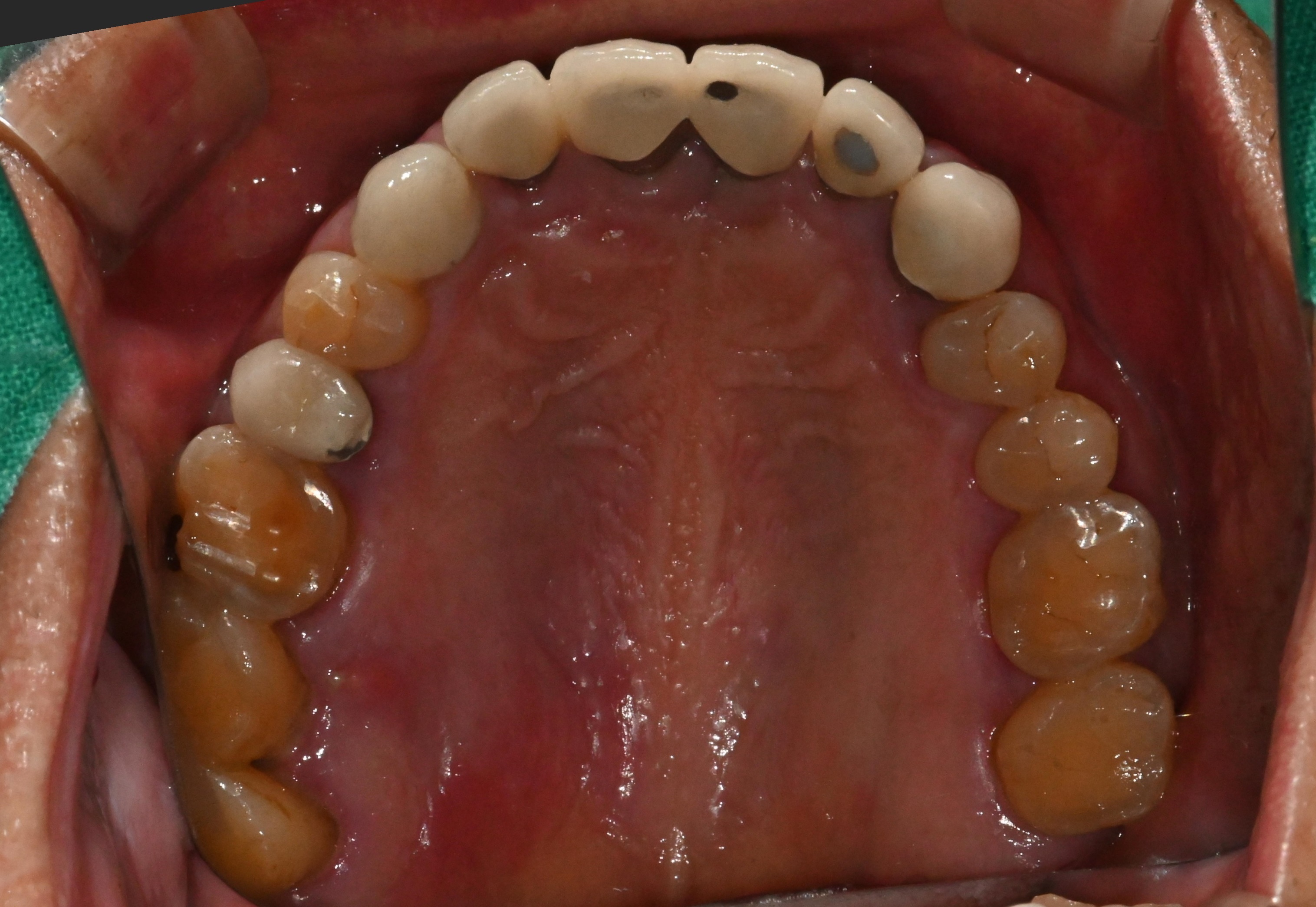
이 환자분은 5년 전에

일반적인 임플란트로

앞니 두개를 식립하셨습니다.

최근 보철물에서

냄새가 나고 흔들린다며 내원하셨죠.

 

 

진단해보니,

잇몸 색이 푸르딩딩하게 변해있네요..

 

이는 인공치변 주변 염증

진행되고 있다는 신호입니다.

 

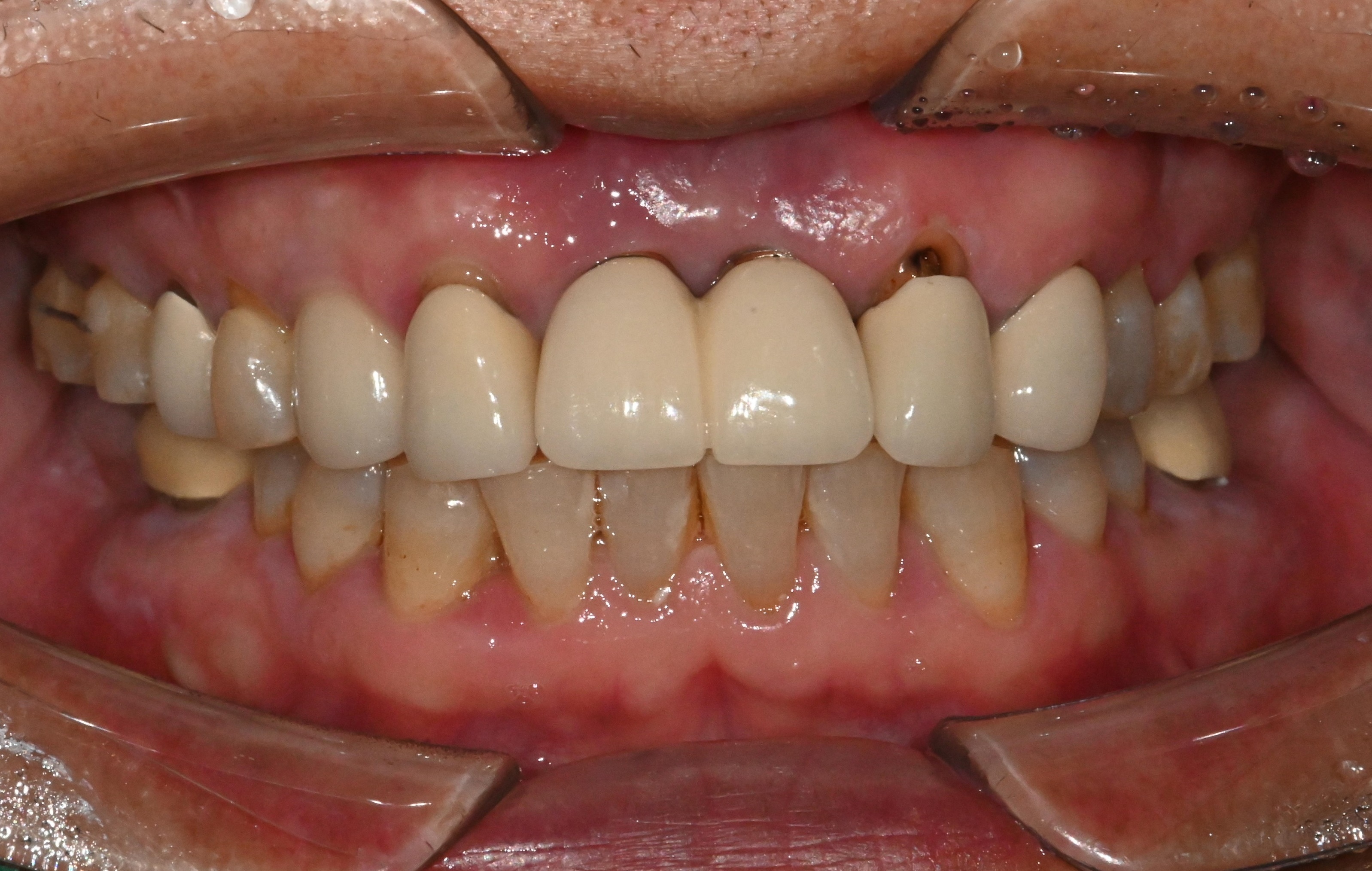
방사선 사진에서는

픽스쳐 주변 뼈의 50% 이상이

이미 녹은 상태였습니다.

 

전치부는 뼈가 워낙 얇기 때문에,

일반 금속치근을 심으면

처음 몇 년은 괜찮아도 5~10년 사이에

결과가 급격히 나빠지는 경우가

매우 흔합니다.

 

 

 

일반적인 픽스쳐가

오래 못 버티는 이유는

명확합니다.

 

뼈가 얇아 시간이 지나면 잇몸이 내려가고

나사선이 잇몸 밖으로 노출되면서

염증이 반복되고,

결국 뼈가 녹아내리는 구조죠.

실제로 환자분이 염증이 생긴 이유도

정확히 이 과정 때문입니다.

                          

아리임플란트는

구조 자체가 다릅니다.

 

잇몸뼈가 아닌 단단한 기저골에 식립해서

풍치가 있어도, 뼈가 얇아도

안정적으로 고정될 수 있습니다.

 

나사선이 아래쪽 깊은 곳에 위치해

잇몸이 내려가도

금속 부분 노출 위험도가 적어지죠.

 

 

 

그리고 치조골 흡수에 영향 덜 받기에

10년 이상 장기 안정성

매우 뛰어나다고 할 수 있습니다.

 

발치 당일에도 당일 식립 +

당일 임시치아 장착이 가능하기에

비어 있으면 안 되는 전치부는

큰 장점이죠.

 

따라서

장기적인 심미성기능성을 위해서는

아리임플란트가 가장 적합합니다.

 

 

 

아리임플란트는

식립 기술이 필요하고

경험이 부족하면 실패 확률이 높아

시도조차 안 하는 치과가 많습니다.

 

하지만 인공치 식립은

10년 이상을 바라보고 하는 치료입니다.

 

몇 년만 볼 것이 아니라

10년 뒤, 15년 뒤를 생각한다면

 

앞니 임플란트는

아리임플란트가 정답입니다.

 

 

목록

이전글 골다공증이 있어 임플란트 미루고 있다면.. 2025.11.20
다음글 흔들리고 냄새나는 브릿지 크라운 전체임플란트로 해결 2025.11.20
무치악 그냥 두실
건가요?
Click

간편 상담

궁금하신 사항을 아래 문의 내용에 입력해주시면
보다 빠르게 전화로 상담을 도와드립니다

이름
연락처
문의내용