HARUEIMPLANT DENTAL CLINIC

하루임플 칼럼

하루임플치과는 약속합니다
더 정직하게, 더 바르게, 더 편안하게 진료하겠습니다
흔들리고 냄새나는 브릿지 크라운 전체임플란트로 해결

작성일 | 2025.11.20 작성자 | 관리자

 

오늘은 

오래된 풀브릿지로 

불편함을 겪던 환자분이

 

정석적인 임플란트 치료로 

새로운 치아를 되찾은 사례를 

소개해드리려 합니다.

 

 

 

 

"야매로 했다가 너무 불편해요…"

 

처음 내원하신 환자분은 

이렇게 말씀하셨습니다.

 

몇 년 전에 위아래 보철을 했는데

요즘 너무 불편해서 

밥도 잘 못 먹고 계신 상황이였죠. 

 

 

 

엑스레이를 보니

 금세 이유를 알 수 있었습니다.

 

신경치료가 되지 않은 치아 위에 

보철이 덮여 있었고,

 

기둥 역할을 하던 치아들은

 염증으로 흔들리고 있었습니다.

 

브릿지 아래쪽은

염증과 뼈 손실이 진행된 모습이

 확인되었습니다.

 

 

 

구강 스캐너로

정밀하게 스캔해보았습니다.

 

보철이 제대로 맞물리지 않아 

 

교합이 틀어져 있고

치아 배열도 비대칭적으로

밀려 있는것이 확인되었습니다. 

 

 

 

그렇기에 하루임플에서는

상악 풀브릿지 제거 후

8개 임플란트를 식립하기로 했습니다.

 

 

 

남아 있는 잇몸뼈를 기준으로

양쪽 소구치와 대구치 부위에

 총 8개의 임플란트를

 식립했습니다.

 

 

양쪽으로 고르게 분산시켜

 씹는 힘을 안정적으로 분배 하고,

 

잇몸에 무리 가지 않게

 설계한 구조입니다.

 

 

 

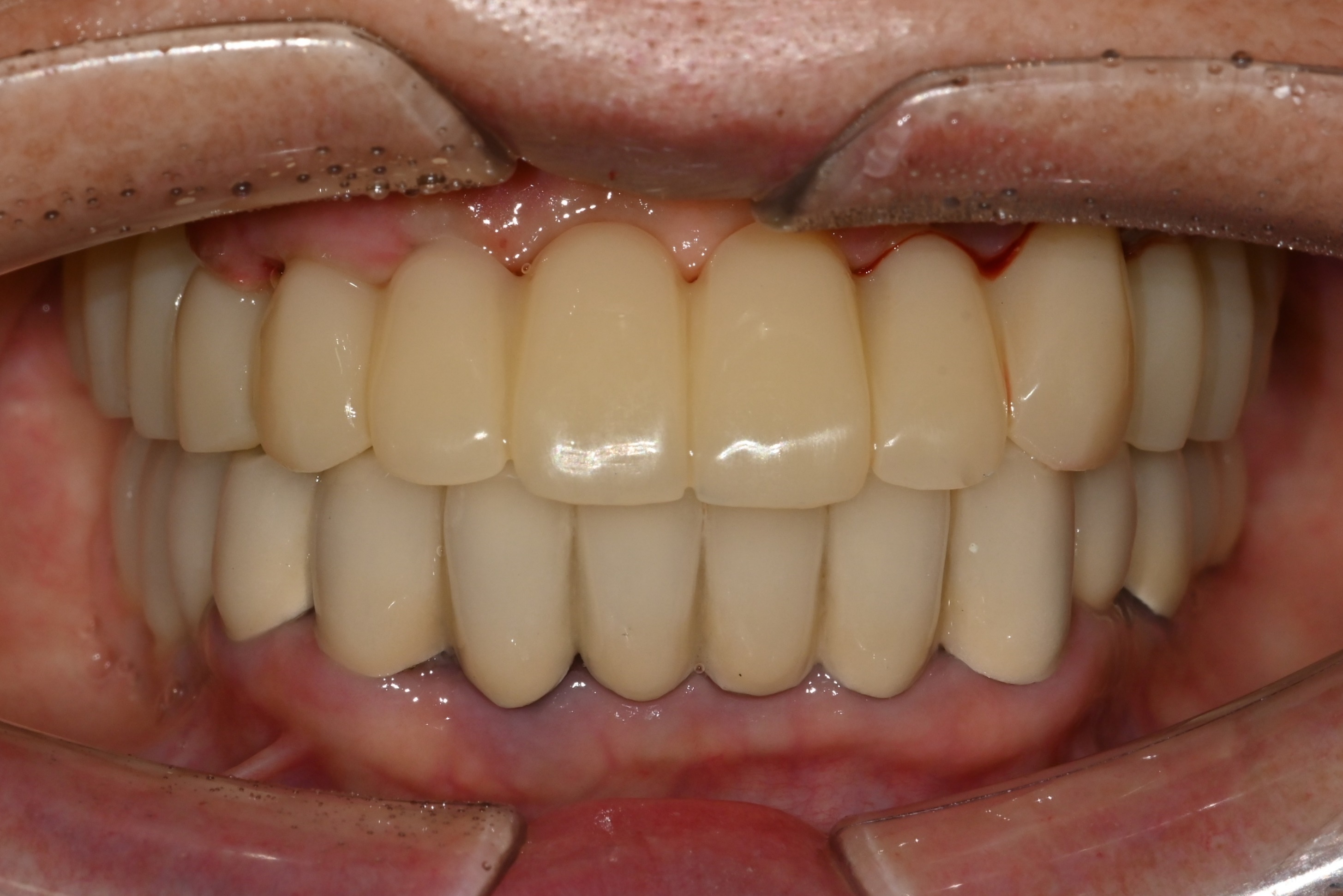
식립하고나서 바로 다음날

 

고정식 임시보철(임시치아)를 

장착해드렸습니다.

 

잇몸이 안정되고 뼈가 자리 잡는 동안

발음·심미·식사 기능을 유지하는

 중요한 역할을 합니다.

 

 

임시보철이라도 

최종보철에 가까운 완성도 

 제작하기 때문에

 

일상생활에 

큰 불편 없이 지내실 수 있습니다.

 

 

 

인공치근은

잇몸뼈와 완전히 붙기까지

평균 3~5개월 정도가 필요합니다.

 

그동안 임시보철로 생활하시다가,

잇몸이 안정되면

 최종보철로 교체하게 됩니다.

 

 

 

 

“결국은 처음부터

 제대로 하는 게 낫네요.”

 

처음엔 시간이 오래 걸릴까 봐

걱정하시던 분들도 이렇게 말씀하십니다 ^^

 

 

목록

이전글 앞니는 아리임플란트로 해야되는 이유 2025.11.20
다음글 앞니 임플란트 재수술을 하게되는 이유 (feat. 아리임플란트) 2025.11.21
무치악 그냥 두실
건가요?
Click

간편 상담

궁금하신 사항을 아래 문의 내용에 입력해주시면
보다 빠르게 전화로 상담을 도와드립니다

이름
연락처
문의내용