HARUEIMPLANT DENTAL CLINIC

하루임플 칼럼

하루임플치과는 약속합니다
더 정직하게, 더 바르게, 더 편안하게 진료하겠습니다
골다공증이 있어 임플란트 미루고 있다면..

작성일 | 2025.11.20 작성자 | 관리자

안녕하세요.

 

오늘은

골다공증이 있고 잇몸뼈까지 많이 소실된,

 

치과의사가 가장 어려워하는 조건을

모두 가진 난케이스

소개해 드리려고 합니다.

 

 

 

 

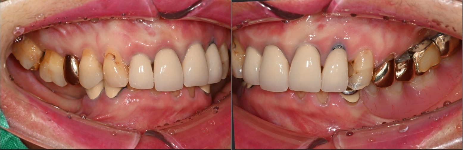
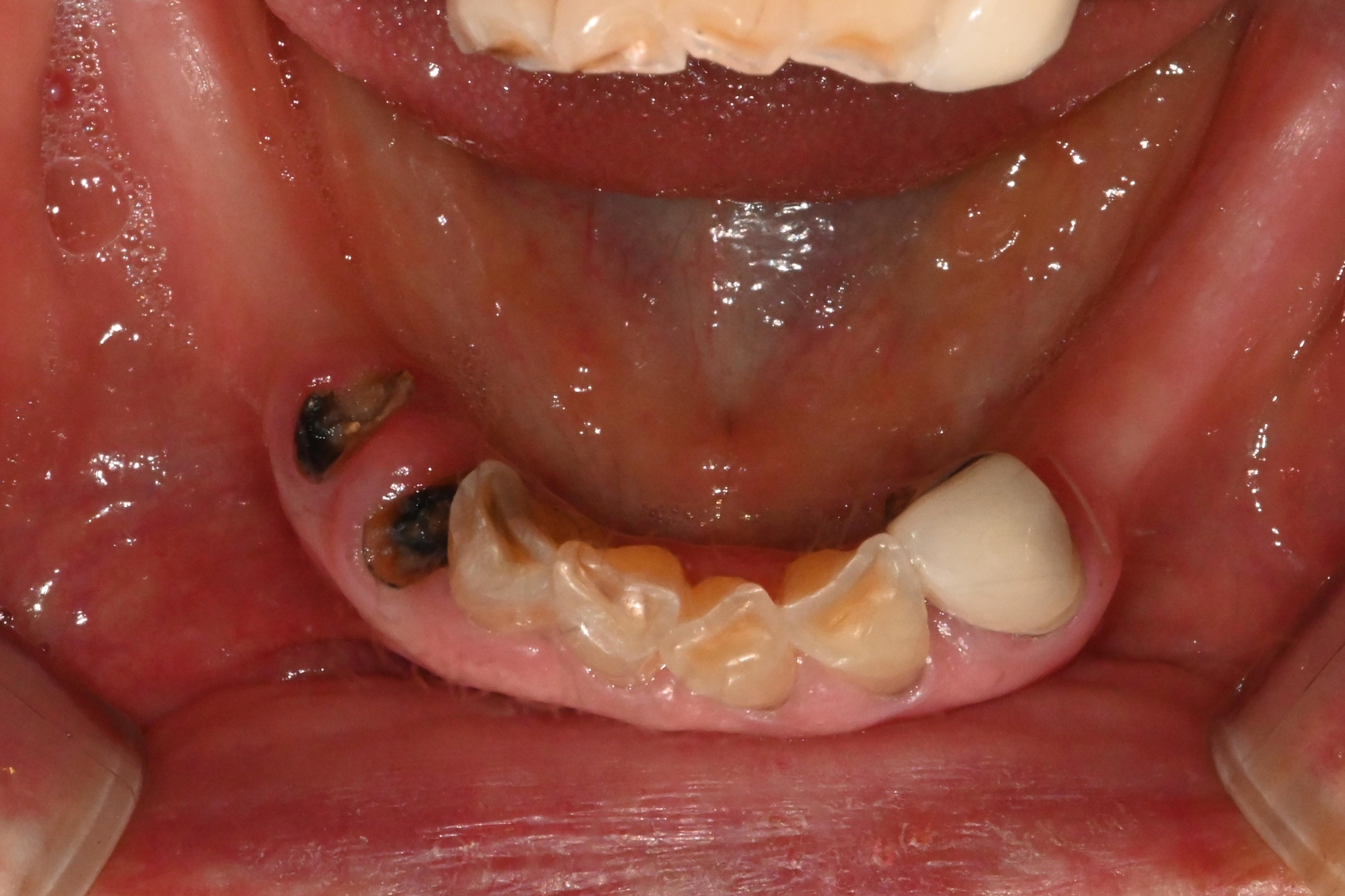
이분 같은 경우

아래 앞니는 염증으로 인해

이미 흔들리고 있었고

 

양쪽 어금니는

오래전에 소실된 상태였습니다.

 

겉으로 보기에도 

잇몸이 많이 부어 있었지만,

 

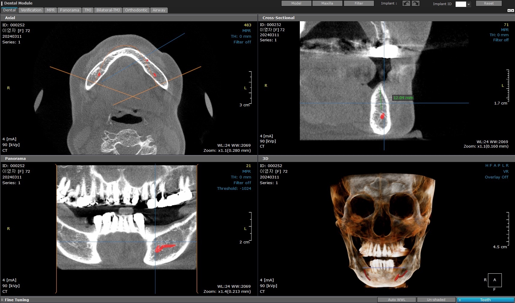
엑스레이 사진상에서도

치조골이 상당 부분 소실된 것

확인되었습니다.

 

환자분의 엑스레이를 보면

‘칼릿지(Crest)’라고 불리는

잇몸뼈 부분이 거의 사라져 있었습니다.

 

많은치과들은 이런 케이스에 대해

 

“뼈 이식부터 1년은 기다리셔야 합니다”

“임플란트 어렵습니다”

이렇게 이야기하기도 합니다.

 

 

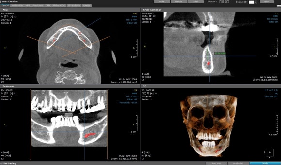
CT를 분석해보면

정말 “뼈가 없다”라고 표현할 만큼

어려운 상황이었습니다.

 

하지만

모든 뼈가 없는 건 아닙니다.

 

얇아도, 작은 영역이라도

단단한 기저골은 반드시 존재합니다.

 

이번 케이스에서도

그 기저골을 하나하나 찾아내

 

픽스쳐가 최대한

‘튼튼한 곳’을 잡을 수 있도록

각도를 미세하게 조정하며 식립했습니다.

 

 

 

이런 작업은 말 그대로

“손기술 + 경험”의 영역입니다.

 

정석적인 해부학적 지식만으로는 불가능하고,

오랜 수술 경험이 있어야

가능한 부분입니다.

 

 

골다공증이 있다고 해서

임플란트를 못하는 것은 아닙니다.

 

뼈가 거의 없어도, 골다공증이 있어도

정확한 방법을 찾으면

치료는 가능합니다

 

 

목록

이전글 심장질환 있어도 임플란트 가능한가요? 2025.11.20
다음글 앞니는 아리임플란트로 해야되는 이유 2025.11.20
무치악 그냥 두실
건가요?
Click

간편 상담

궁금하신 사항을 아래 문의 내용에 입력해주시면
보다 빠르게 전화로 상담을 도와드립니다

이름
연락처
문의내용