HARUEIMPLANT DENTAL CLINIC

하루임플 칼럼

하루임플치과는 약속합니다
더 정직하게, 더 바르게, 더 편안하게 진료하겠습니다
심장질환 있어도 임플란트 가능한가요?

작성일 | 2025.11.20 작성자 | 관리자

하루임플치과에 내원하시는

환자분들 중

체감상 10명 중 8명은

심근경색·협심증 등 심장질환으로 인해

관련 약을 복용하고 계십니다.

 

오늘 소개해드릴 사례의 환자분도

마찬가지였습니다.

 

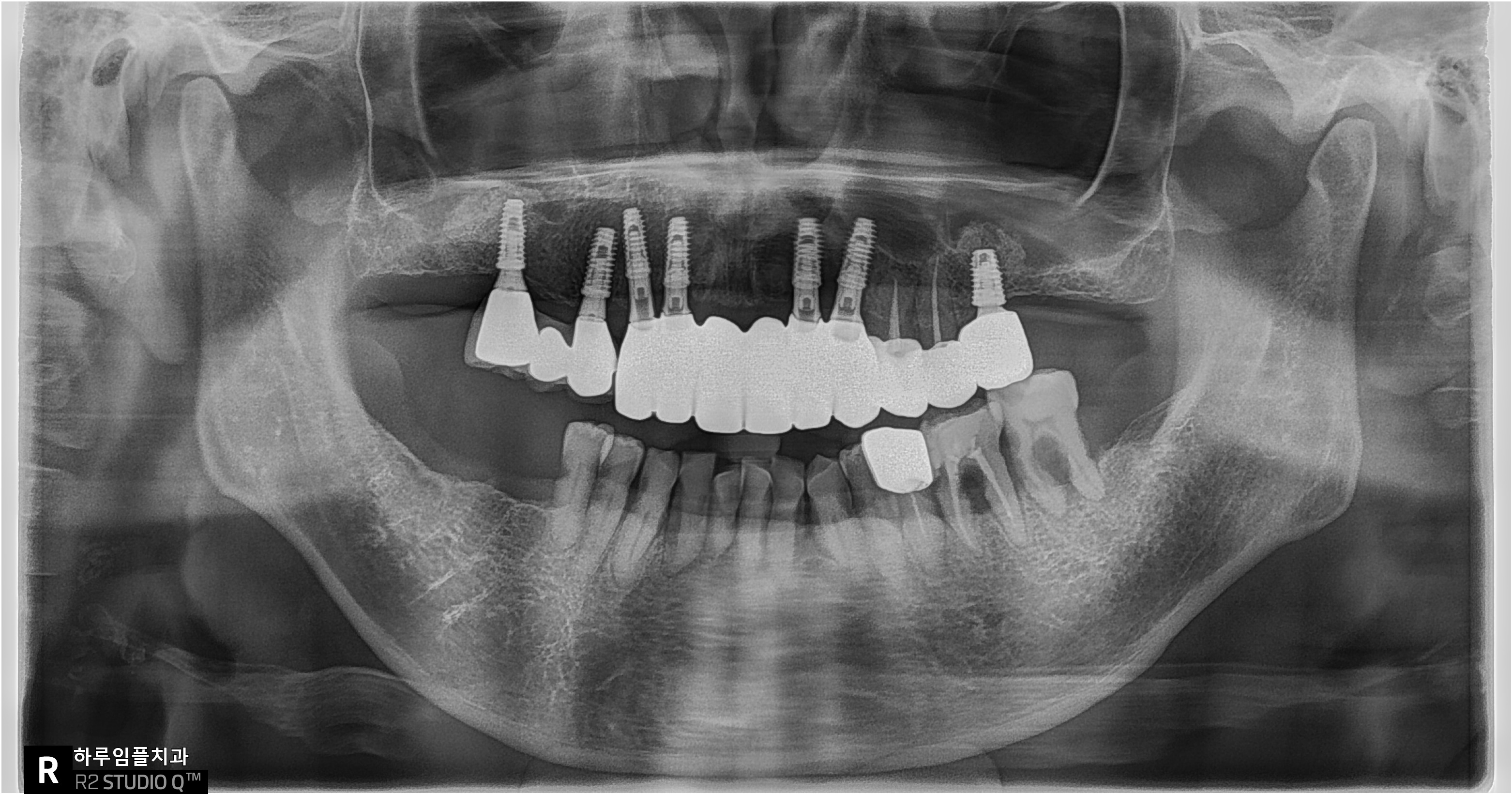
엑스레이를 찍어보니,

아래 앞니는 풍치로 인해

잇몸뼈가 많이 녹아 있었고

아래 어금니 쪽도

이미 뼈 흡수가 진행된 상태였습니다.

 

전체적으로 치아가 이제는

버티기 어려운 단계라고 할 수 있죠..

환자분도 부분만

어찌어찌 유지하는 치료보다는

 

"싹 다 정리하고 새로 하고싶어요"

라고 말씀하셨습니다.

하루임플에서는

환자분의 전신 건강·약 복용 여부

출혈 경향 등 모든 걸 고려해

 

한 번에 끝내는

원데이 임플란트 치료 계획

세웠습니다.

 

 

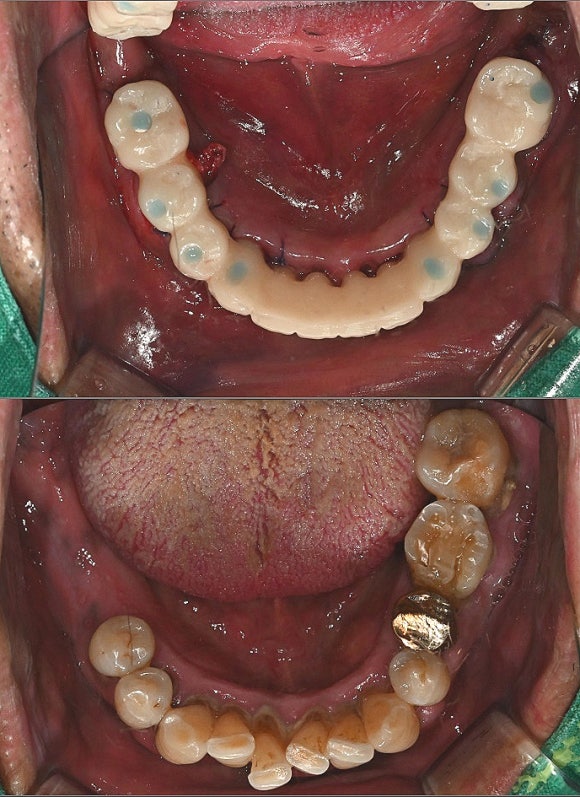
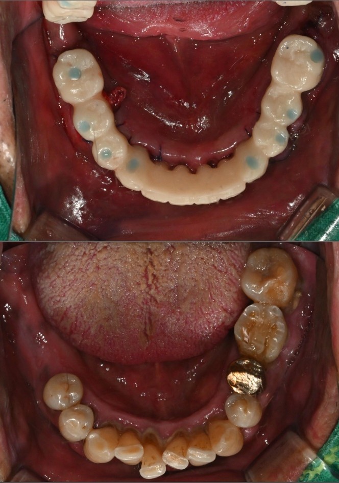
그날 바로

발치 12개임플란트 8개 식립

한 번에 진행했습니다.

이 과정은 속도싸움이 아니라

각도·깊이·초기 고정력

모두 고려해야 하는 

고난도 수술이였습니다.

 

?

 

 

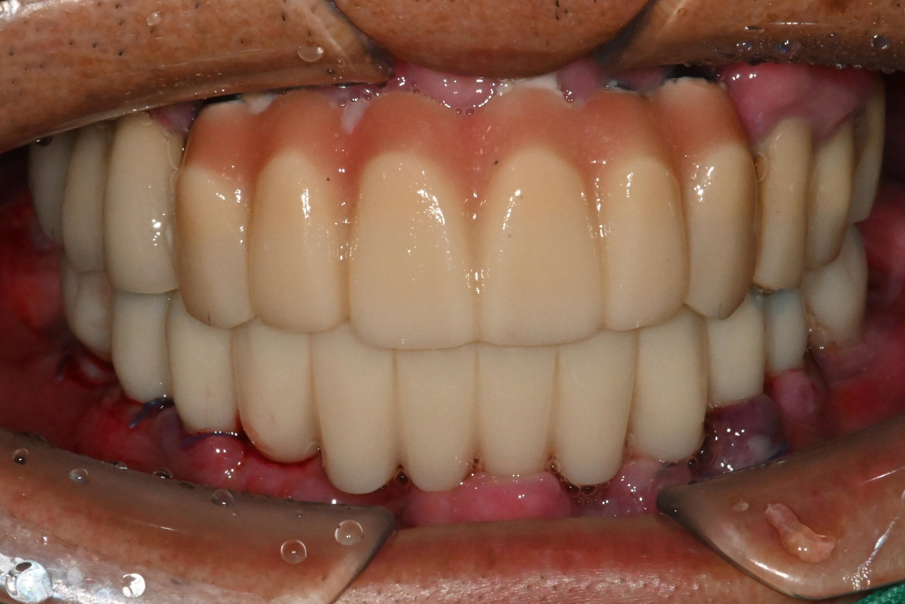
뼈 상태와 고정력이 안정적으로 나와

다음날 임시치아

바로 장착하기로 결정했습니다.

 

여기서 중요 포인트는,

 

잇몸을 누르지 않는 구조의

임시치아 라는 점입니다.

 

 

보통 치아를 바로 장착할 때는

시멘트를 사용하는 경우가 많은데,

 

이 시멘트가 잇몸 속에 남으면

염증을 유발할 수 있습니다.

그렇기에

시멘트 없는 구조로

장착하였습니다.

 

 

 

아직 실밥이

선명하게 보이는 시기지만

환자분은 바로

식사와 대화가 가능한 상태가 됩니다.

 

즉,

진짜 의미의 “원데이 보철” 이죠.

 

 

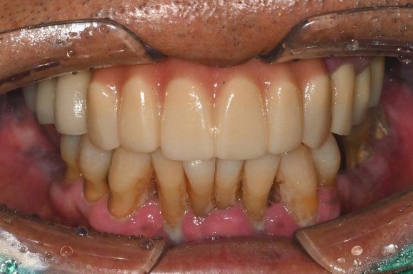
수술 전 후 사진을 비교해보면

더욱 명확히 들어납니다.

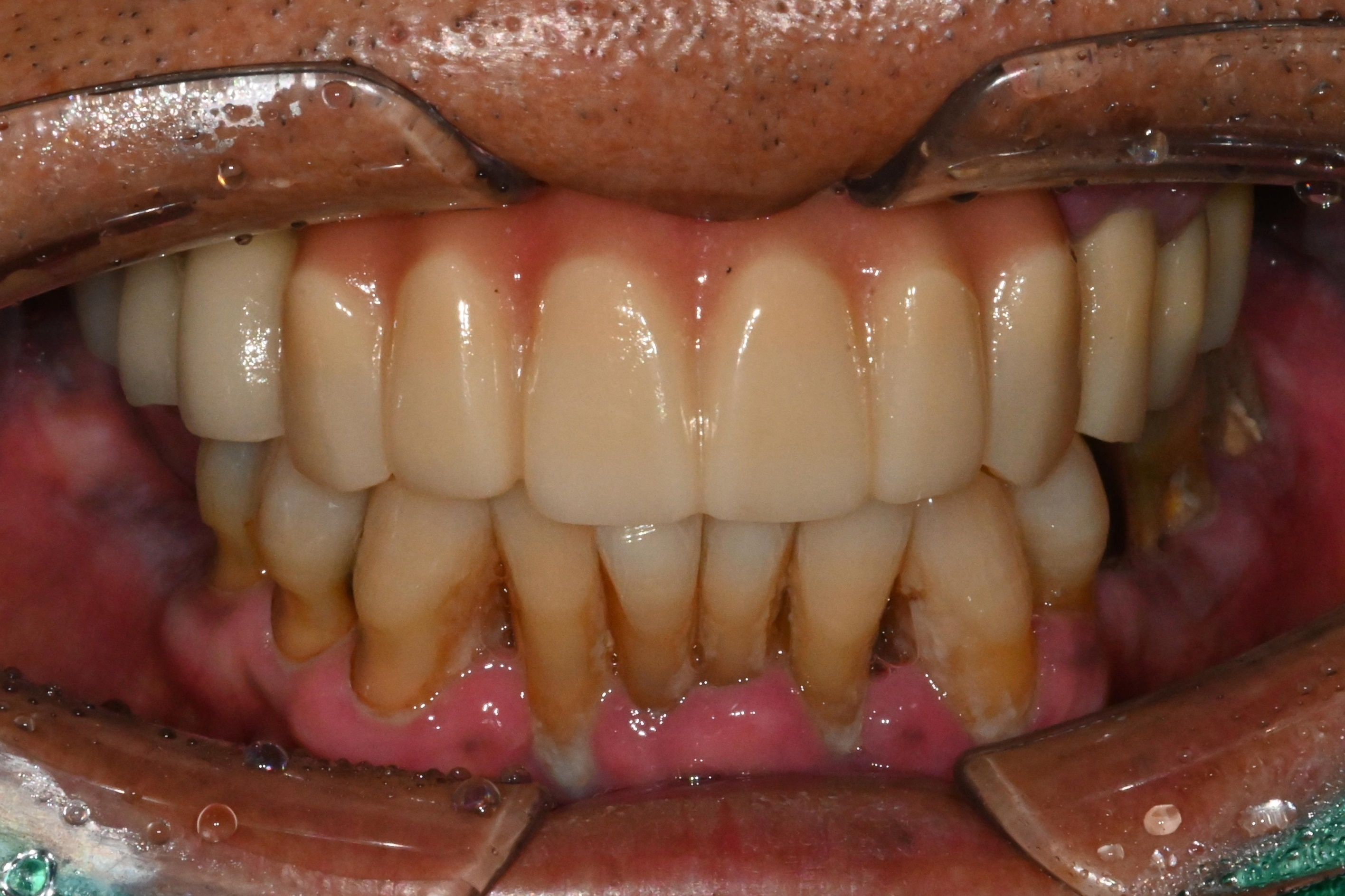
3개월 후에는

임시치아와 동일한 모양의

 

세멘트 없는

고퀄리티 스크류 타입 보철물

장착하고 마무리 하게 됩니다 ^^

 

 

 

목록

이전글 어금니임플란트 맞춤형으로 진행했을 때 2025.09.19
다음글 골다공증이 있어 임플란트 미루고 있다면.. 2025.11.20
무치악 그냥 두실
건가요?
Click

간편 상담

궁금하신 사항을 아래 문의 내용에 입력해주시면
보다 빠르게 전화로 상담을 도와드립니다

이름
연락처
문의내용