HARUEIMPLANT DENTAL CLINIC

하루임플 칼럼

하루임플치과는 약속합니다
더 정직하게, 더 바르게, 더 편안하게 진료하겠습니다
울산 잇몸뼈 부족·치주염 환자도 임플란트가 가능한 이유 (GBR 뼈이식의 핵심)

작성일 | 2026.04.29 작성자 | 관리자

[원장 칼럼] 울산 잇몸뼈 부족·치주염 환자도 임플란트가 가능한 이유 (GBR 뼈이식의 핵심)

 

이 글의 핵심 요약

  • 대상: 잇몸뼈가 얇거나 낮아서 타 치과에서 "수술 불가" 판정을 받은 울산 환자

  • 핵심: 부족한 뼈를 재건하는 **골유도재생술(GBR)**과 상악동 거상술을 통한 기반 조성

  • 강점: 0.1mm의 오차를 줄이는 디지털 분석과 하루임플만의 [365 평생 관리 프로토콜]

 


 

안녕하세요, 하루임플치과 대표원장 김성수입니다.

 

"치과 몇 군데를 돌았는데 뼈가 너무 얇아서 임플란트가 안 된대요. 평생 틀니만 써야 할까요?"

심한 치주염을 앓았거나 치아 상실 후 오랜 기간 방치하신 분들이 상담실에서 가장 먼저 하시는 질문입니다.

 

결론부터 말씀드리면, '뼈가 없어서 못 심는 경우'는 거의 없습니다. 뼈는 '만들어서' 심으면 되기 때문입니다.

 

오늘은 얇아진 잇몸뼈를 다시 튼튼하게 재건하여 임플란트를 성공시키는 원리에 대해 설명해 드리겠습니다.

 

 

1. 잇몸뼈가 얇아지는 이유와 그 위험성

 

 

 

우리 몸의 잇몸뼈는 치아를 지지하는 역할을 하지만

치아가 사라지면 자신의 역할을 다했다고 판단해 스스로 흡수되어 사라지기 시작합니다.

 

 

 

특히 틀니를 오래 사용했거나 심한 풍치(치주염)가 있었다면 뼈의 두께는 종잇장처럼 얇아지기도 합니다.

 

이 상태에서 무리하게 임플란트를 심으면 기둥이 잇몸 밖으로 비치거나, 금방 흔들려 빠질 위험이 큽니다.

마치 모래 위에 집을 짓는 것과 같기 때문입니다.

 

 

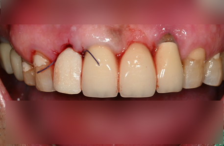
2. 부족한 뼈를 다시 채우는 '골유도재생술(GBR)'

 

 

뼈가 부족할 때는 골유도재생술(GBR)이라는 고난도 기법을 사용합니다.

단순히 인공뼈를 채워 넣는 것이 아니라, 뼈가 잘 차오를 수 있도록 특수 차폐막을 덮어주는 정교한 과정이 필요합니다.

 

  • 인공뼈 이식: 환자 본인의 뼈(자가골)나 검증된 인공뼈를 이식합니다.

  • 차폐막 활용: 잇몸 세포가 뼈가 자랄 공간을 방해하지 못하도록 막아주어, 단단한 뼈가 형성될 시간을 벌어줍니다.

  • 상악동 거상술: 위턱 어금니 부위의 뼈가 얇을 때는 공기주머니(상악동)를 들어 올려 뼈를 채우는 특수 수술을 병행합니다.

 

 

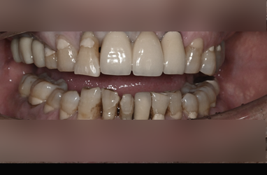
3. 하루임플치과가 '뼈이식'에 자신 있는 이유

 

 

잇몸뼈 재건은 집도의의 경험치가 성패를 좌우합니다.

뼈이식 후 임플란트가 뼈와 얼마나 단단히 결합(골유착)되는지를 정확히 판단해야 하기 때문입니다.

 

 

저희 하루임플치과에서는 3D CT를 통해 골밀도와 잔존 골량을 입체적으로 분석합니다.

0.1mm의 뼈 두께까지 계산하여 가장 효율적인 이식 범위를 결정하므로, 불필요한 과잉 수술 없이도 튼튼한 기초를 다질 수 있습니다.

 

 

4. 사후 관리가 뼈의 운명을 결정합니다

 

 

어렵게 재건한 뼈가 평생 유지되려면 수술 후 관리가 핵심입니다.

임플란트 주위염은 자연치아보다 진행 속도가 빨라 이식한 뼈를 순식간에 녹일 수 있습니다.

 

하루임플치과는 [하루 365 디지털 관리 프로토콜]을 통해 정기적인 골밀도 체크와 잇몸 관리를 직접 챙깁니다.

 

"수술은 끝이 아니라 시작"이라는 마음으로 아버님, 어머님의 제2의 치아를 끝까지 지켜드립니다.

 

 


 

우리 부모님 잇몸 상태, 임플란트가 가능할까요?

 

혼자 고민하며 시간을 보내면 뼈는 더 흡수될 뿐입니다.

하루라도 빨리 정밀 진단을 받아보시는 것이 치료 기간과 비용을 줄이는 가장 좋은 방법입니다.

목록

이전글 울산 전체임플란트 비용이 부담된다면? 상악 틀니 + 하악 올온식스(All-on-6) 복합 치료 사례 2026.04.29
다음글 다음 게시글이 없습니다.
무치악 그냥 두실
건가요?
Click

간편 상담

궁금하신 사항을 아래 문의 내용에 입력해주시면
보다 빠르게 전화로 상담을 도와드립니다

이름
연락처
문의내용