HARUEIMPLANT DENTAL CLINIC

하루임플 칼럼

하루임플치과는 약속합니다
더 정직하게, 더 바르게, 더 편안하게 진료하겠습니다
잇몸 고름주머니 이 뽑는게 답? 진단이 중요한 이유

작성일 | 2025.12.15 작성자 | 관리자

치과에 오시는 많은 분들이

“이 치아는 빼야 하나요?”

“임플란트를 해야 한다고 하던데 맞나요?”

 

라는 고민을 가지고 계십니다.

 

특히 앞니처럼

심미성·기능 모두 중요한 치아에서

발치를 권유받으면 마음이 더 불안해지죠.

 

오늘은 실제로 있었던

30대 환자분 사례를 통해

 

‘정확한 진단’이 그 무엇보다 중요한지

설명드리겠습니다.

 

30대 남성, 앞니(12번) 발치 권유…

정말 뽑아야 할까?

 

 

2021년 7월, 30세 남성 분께서

 

다른 치과에서 앞니를 빼고

임플란트를 해야 한다고 들었어요..

 

라고 하시며

제게 재진단을 받으러 오셨습니다.

 

 

 

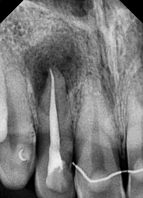
앞니 주변 잇몸에는

고름주머니가 부풀어 있었고

 

방사선 사진에서도

염증 부위가 선명하게 보였습니다.

 

 

하지만 저는 이 상황에서

즉시 발치와 임플란트라는

단편적인 선택이

 

옳지 않다고 판단했습니다.

 

 

왜일까요?

 

 

1. 30대는 앞니를

쉽게 뽑을 나이가 아닙니다

 

임플란트가 좋은 치료임은 분명하지만,

 

자연치보다 우수한 인공치는

존재하지 않습니다.

 

 

특히 젊은 나이에

앞니를 임플란트로 바꿀 경우

 

그 치아를 평생 사용해야 한다는 점,

그리고 잇몸·뼈 변화가 빨라

 

재치료 가능성이 높다는 점을

고려해야 합니다.

 

따라서 젊은 연령대에서는

가능한 모든 방법을 동원해

자연치 보존을 우선 고려해야 합니다.

 

 

2) 문제는 ‘염증’이지

‘치아 자체’가 아니었습니다

 

고름주머니 즉 치근단농양은

 

흔히 신경 괴사, 충치 진행, 외상 등

치근단 염증에서 발생합니다.

 

즉, 염증이 크다고 해서

“치아를 무조건 뽑아야 한다”

는 뜻은 아닙니다.

 

 

해당 환자분도

단순히 염증 크기만 보고

발치를 결정한 것으로 보였지만,

 

실제 원인은

충치로 인한 신경염증이었습니다.

 

따라서 저는

다음과 같은 치료계획을 세웠습니다.

 

- 신경치료(근관치료)

- 염증 조절

- 최종 크라운 복원

 

 

환자분께 충분히 설명드리고

동의를 구한 뒤,

자연치 보존 치료를 시작했습니다.

 

 

4년 뒤 결과는?

치아는 여전히 건강하게 유지 중

 

 

시간이 흐르고,

2025년 12월 환자분께서

다시 내원하셨습니다.

 

결과는 매우 긍정적이었습니다.

 

 

 

고름주머니는 거의 사라졌고

증상도 완전히 소실되었으며

 

크라운 마진도

아주 안정적이었습니다.

 

 

즉,

앞니 발치가

필요 없었던 케이스 였습니다.

 

 

만약 당시

“염증이 있으니 빼야 한다”는 의견만 믿고

임플란트를 바로 했다면

 

30대 젊은 나이에

건강한 치아를 불필요하게 잃을 뻔했습니다.

 

 

앞니 발치·임플란트 권유를 받으셨다면

꼭 한 번 더 진단을 받아보세요.

 

- 자연치 보존이 가능한지,

- 문제의 원인은 무엇인지,

- 다른 선택지는 없는지.

 

 

정확한 판단

결국 여러분의 치아 수명을

지켜드립니다.

 

목록

이전글 앞니 임플란트 재수술을 하게되는 이유 (feat. 아리임플란트) 2025.11.21
다음글 다음 게시글이 없습니다.
무치악 그냥 두실
건가요?
Click

간편 상담

궁금하신 사항을 아래 문의 내용에 입력해주시면
보다 빠르게 전화로 상담을 도와드립니다

이름
연락처
문의내용