HARUEIMPLANT DENTAL CLINIC

하루임플 칼럼

하루임플치과는 약속합니다
더 정직하게, 더 바르게, 더 편안하게 진료하겠습니다
어금니임플란트 맞춤형으로 진행했을 때

작성일 | 2025.09.19 작성자 | 관리자

임플란트를 하고 나서

양치만 끝나면 음식물이 금세 끼고,

깨끗이 닦았는데도

잇몸이 시큰거린다고 호소하는 분들이

적지 않습니다.

 

많은 분들이

임플란트가 문제인가? 하고 생각하시지만

사실 원인은 본체가 아니라

그 위에 올려지는

기둥에서 시작되는 경우가 많습니다.

 

특히

어금니임플란트 치료를 받은 분들이

자주 불편을 느끼는 부분이

음식물 끼임, 잇몸 염증

그리고 보기에 아쉬운 심미성입니다.

 

그런데 이 문제의 상당수는

알고 보면 ‘기성형 기둥’ 때문에 생기죠.

 

그래서 오늘은

왜 맞춤형 기둥이 필요한지,

그리고 실제로 어떤 차이를 만들어내는지

차근차근 말씀드리려 합니다.

 

 

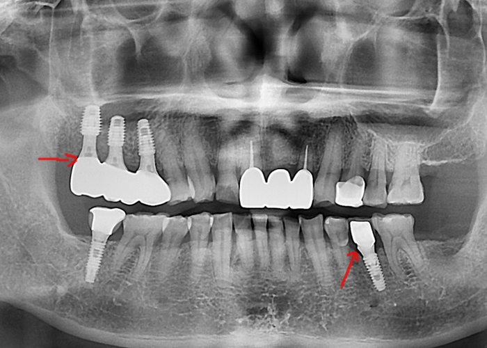
오른쪽 위 어금니를 발치한 환자분이

내원하셨습니다.

 

오래된 브릿지 보철물이 탈이 나면서

뿌리까지 손상된 상황이었고,

이미 어금니임플란트 경험도

있으셨습니다.

 

문제는

발치 직후라 잇몸과 뼈가

충분히 회복되지 않았다는 점이었습니다.

 

치아 흔적이 그대로 보이고,

뼈와 잇몸 모두 부족한 상태였죠.

 

치과 입장에서는

3~6개월 기다린 뒤

뼈와 잇몸이 안정되었을 때 수술하는 편이

가장 수월합니다.

 

하지만 환자분들은 대개

기다림이 어렵고, 바로 치료를 원하십니다.

 

이럴 때 중요한 것은

정확한 술식과 환자 맞춤형 보철 설계입니다.

 

?

발치 직후

어려운 조건이었지만,

울산 어금니임플란트를 단단하게 심어

안정적인 고정을 확보했습니다.

 

식립이 끝난 뒤에는 뚜껑을 씌워

잇몸이 차분히 회복될 수 있는 환경을

만들어줍니다.

 

이 잇몸이 단단히 자리 잡는 데에는

보통 약 4개월 정도의 시간이 필요합니다.

 

그 기간 동안 환자분께서는

당일에 제작된 임시 치아를 사용하시면서

일상생활을 이어가실 수 있습니다.

 

즉,

치료 중에도 식사나 대화에

큰 불편 없이 생활하실 수 있도록

배려한 과정이라 보시면 됩니다.

 

 

맞춤형 어버트먼트를

체결한 모습입니다.

 

환자 개개인의 잇몸 형태와 뼈 높이는

모두 다르기 때문에,

 

기성 어버트먼트를 사용하면

보철물과 잇몸 사이에

미세한 틈이나 단차가 생기기 쉽습니다.

 

이 틈은 시간이 지나면서

음식물 저류나

세멘트 잔여물 축적을 유발하여

염증으로 이어질 수 있습니다.

 

맞춤형 어버트먼트는

디지털 스캔 데이터를 기반으로

잇몸 곡선을 그대로 반영해 제작되므로,

 

보철물이 올라갔을 때

잇몸과 자연스럽게 이어지고

위생 관리도 수월합니다.

 

 

최종 보철물은

잇몸과 부드럽게 이어지며

깔끔하게 완성되었습니다.

 

어버트먼트 위에 정확히 안착되어,

음식물이 끼거나

잇몸에 무리가 가지 않도록 설계되어

오래 사용하시기 좋은

튼튼한 형태입니다.

 

?

어금니임플란트 치료는

단순히 나사를 심는 것에서

끝나지 않습니다.

 

그 위에 어떤 기둥을 올리고

어떻게 설계하느냐에 따라

편안함과 수명, 심미성까지

달라지게 됩니다.

 

이번 사례처럼

맞춤형 어버트먼트를 사용하면

음식물이 잘 끼지 않고,

잇몸 염증의 위험도 줄어들며

무엇보다도 자연치와 유사한 형태와

편안함을 얻을 수 있습니다.

 

목록

이전글 골든타임을 놓치면 안되는 이유 2025.09.19
다음글 심장질환 있어도 임플란트 가능한가요? 2025.11.20
무치악 그냥 두실
건가요?
Click

간편 상담

궁금하신 사항을 아래 문의 내용에 입력해주시면
보다 빠르게 전화로 상담을 도와드립니다

이름
연락처
문의내용