HARUEIMPLANT DENTAL CLINIC

하루임플 칼럼

하루임플치과는 약속합니다
더 정직하게, 더 바르게, 더 편안하게 진료하겠습니다
골든타임을 놓치면 안되는 이유

작성일 | 2025.09.19 작성자 | 관리자

안녕하세요. 하루임플입니다. 

 

“이를 빼야 한다”는 이야기를 들었을 때

 대부분의 환자분들은 크게 놀라십니다.

 

특히 이가 아직 흔들리지 않고

씹는 데 불편이 없을 경우에는 더욱 그렇습니다.

 

잘 사용하고 있는 이를 

뽑아야 한다는 결정 은 

환자 입장에서 결코 쉽지 않습니다.

 

하지만 치과의사는 단순히 

‘현재의 상태’만 보는 것이 아니라, 

앞으로의 예후를 함께 고려합니다.

 

영구치 자체는 버틸 수 있어도

 지탱하는 잇몸뼈가 이미 손상됐다면

이야기가 달라집니다.

 

임상에서 자주 보는 흐름을 정리하면

 다음과 같습니다.

 

?

 

뼈 손상이 시작되었지만, 

치아가 흔들리지 않고 기능할 수 있는 단계가

첫번째라고 할 수 있습니다.

 

이 경우 

환자분도 발치를 받아들일 이유가 없고

울산치과잘하는곳에서도

 잇몸치료와 구강위생 관리로 

최대한 유지해 드립니다.

 

?

 

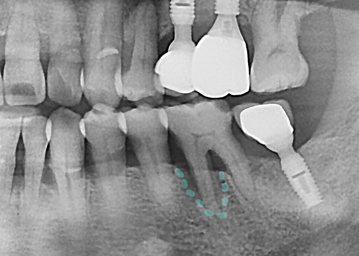
2년 정도가 경과하게 되면

방사선 사진에서 

뿌리 주변의 뼈가 점차 줄어들고, 

뿌리 일부가 드러나기 시작합니다.

 

이 시점은 과잉진료가 아니라 

오히려 적절한 임플란트 시기(골든타임)입니다.

 

뼈가 아직 충분히 남아 있어 

수술이 단순하고, 

수복 후의 결과도 안정적입니다.

 

 

이를 빼지 않고

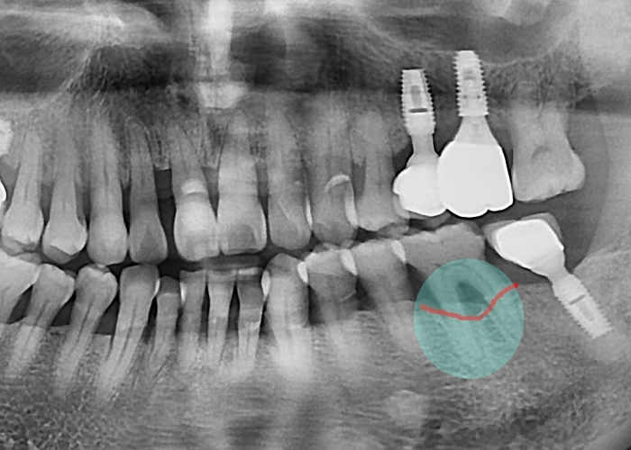
4년 경과후 엑스레이 사진입니다.

 

뿌리 끝까지 뼈가 사라지고

주변 신경과도 가까워져 

수술 난이도가 매우 높아지는거죠.

 

이런 경우

할 수 있는 치료 옵션이 줄어들고

환자의 불편과 치료 기간은

 훨씬 길어질 수밖에 없습니다.

 

?

 

하루임플치과

PDRN주사 + 골이식 시행

 

다행히 최근에는 뼈가 부족해도

 여러 가지 보완 방법이 있습니다.

 

대표적인 것이 골이식술입니다.
 

이식재를 이용해 

부족한 뼈를 보강해 주고,

시간이 지나면서 이식된 뼈가

 환자의 뼈와 융합되어

 새로운 기반을 만들어 줍니다.

 

전과는 다르게 엑스레이 사진상에서

뼈가 차오른 모습입니다 ^^ 

 

치과치료에도 

골든타임이 있습니다.

 

잇몸뼈가 점점 줄어들기 전에

적절한 시기를 놓치지 않고 

치료를 결정하는 것이

 장기적인 성공의 핵심입니다.
 

?

목록

이전글 네비게이션 임플란트가 필요한 경우 2025.09.11
다음글 어금니임플란트 맞춤형으로 진행했을 때 2025.09.19
무치악 그냥 두실
건가요?
Click

간편 상담

궁금하신 사항을 아래 문의 내용에 입력해주시면
보다 빠르게 전화로 상담을 도와드립니다

이름
연락처
문의내용